Invisalign
Braces
Cosmetic bonding
Crown
Internal Bleaching
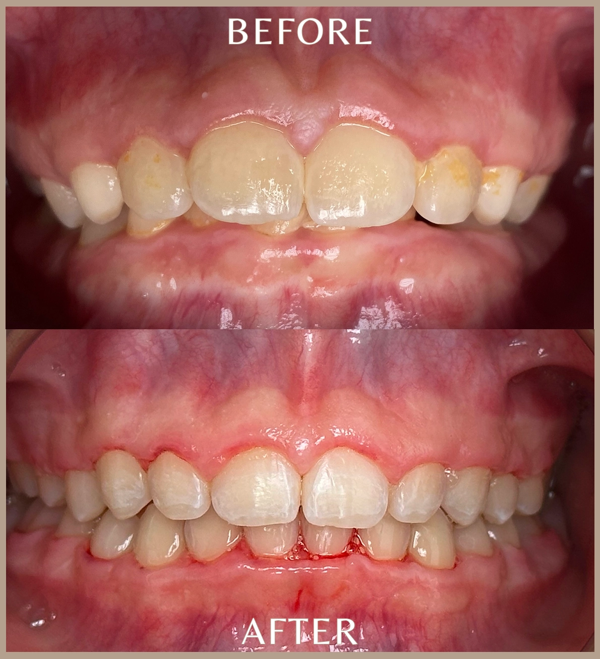
Invisalign
This Invisalign transformation is a perfect example of how advanced orthodontic technology can deliver incredible results. The clear aligners gradually corrected alignment and bite issues, creating a straighter, healthier, and more attractive smile—all without noticeable brackets or wires.




REQUEST AN APPOINTMENT
Whether you’re in need of a second opinion, looking to improve your smile, or trying to rid of some pesky discomfort, we’re here for you. We offer personalized treatment plans tailored to your needs. Interested in booking an appointment?
- Book via our treatments page
- Call/text 305-442-6422
- Email hello@mintyfreshmiami.com
Kindly give us 24 hours to get back to you!
Once your appointment request is approved we’ll provide you with more details to make your first visit as smooth as possible.




