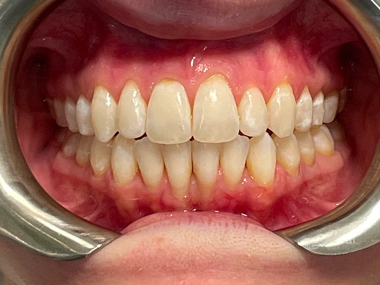
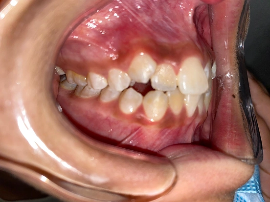
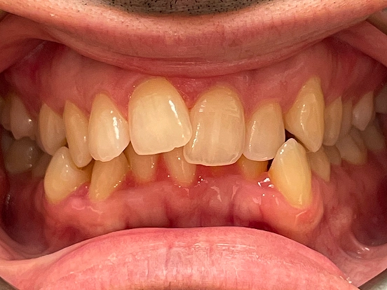
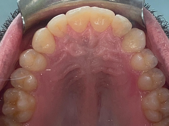
Invisalign CK
This Invisalign case shows how clear aligners can completely transform a smile without the need for metal braces. Over the course of treatment, CK achieved a beautifully aligned smile with improved symmetry and confidence. The results highlight how Invisalign offers both comfort and precision for a stunning new look.






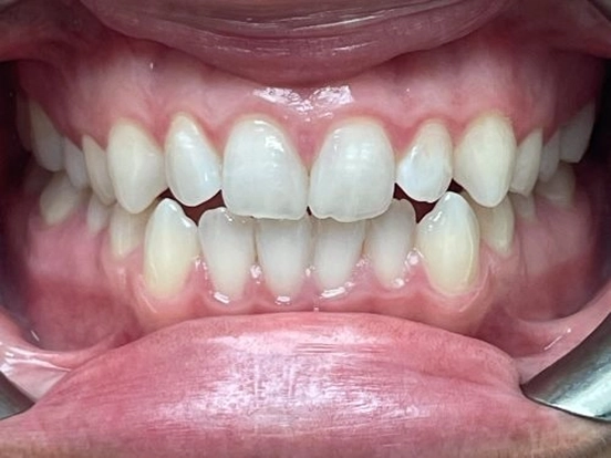
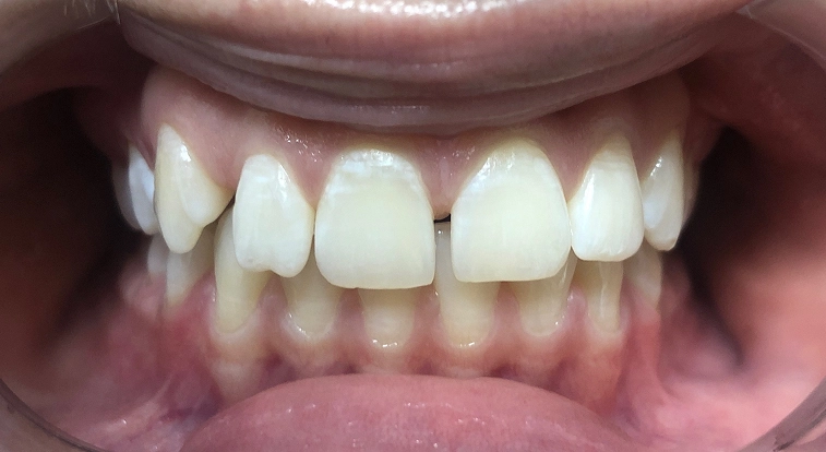
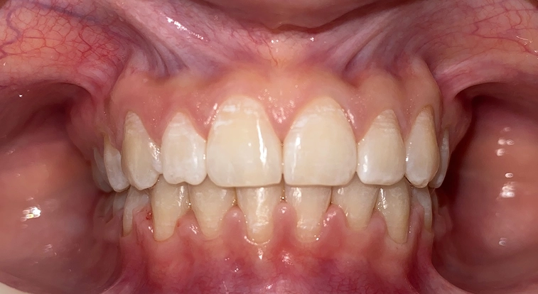
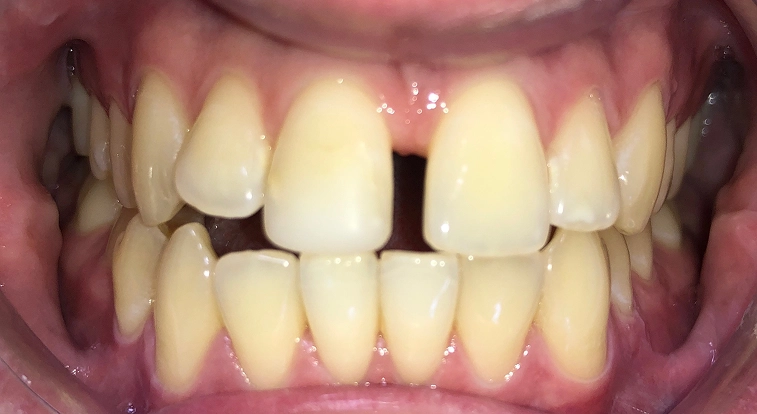
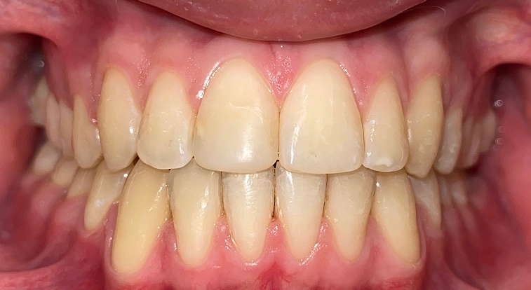
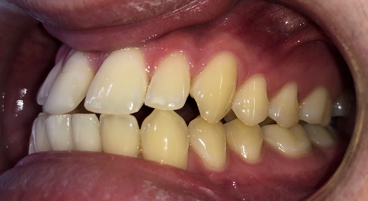
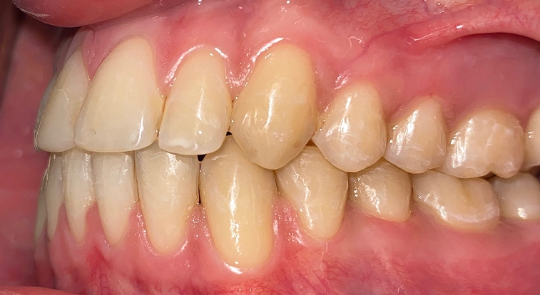
Invisalign DT
DT’s transformation with Invisalign is a perfect example of how advanced orthodontic technology can deliver incredible results. The clear aligners gradually corrected the alignment and bite issues, creating a straighter, healthier, and more attractive smile—all without noticeable brackets or wires.




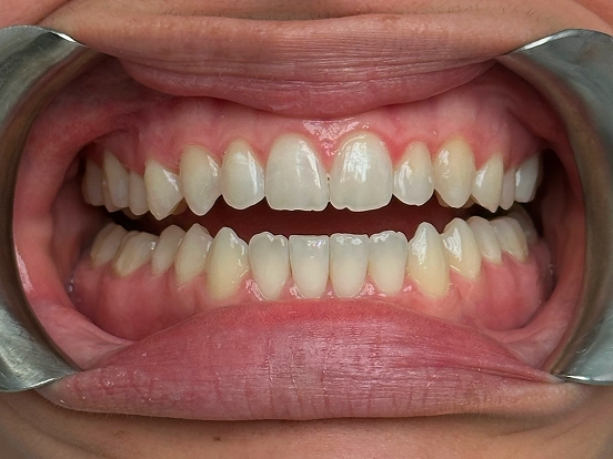
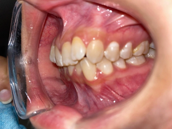
Braces EJ
EJ’s braces journey demonstrates how traditional orthodontics can deliver a complete and lasting smile transformation. The braces effectively corrected spacing and bite issues, leaving behind a perfectly straight, radiant smile that reflects months of dedication.






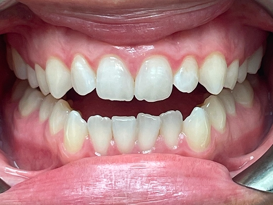
Braces GI
GI achieved a beautifully balanced smile through braces treatment. Over time, the brackets and wires gently moved each tooth into its ideal position, resulting in improved alignment, comfort, and confidence in their everyday smile.






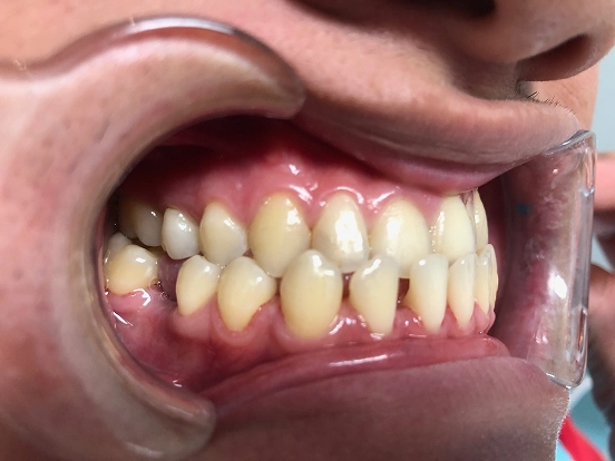
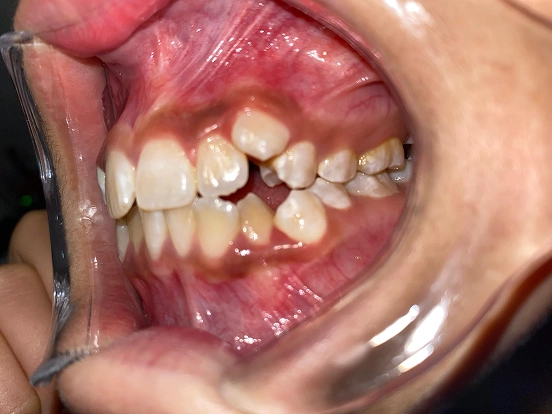
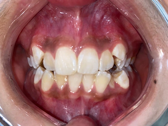
Braces MP
MP’s before and after results highlight the precision of modern braces. The treatment corrected both alignment and bite discrepancies, creating a natural-looking, even smile that enhances overall facial aesthetics and oral health.






Braces VP
VP’s transformation through braces is truly inspiring. The treatment straightened crooked teeth, corrected the bite, and produced a harmonious smile that radiates confidence and beauty. The results show just how effective orthodontic treatment can be.






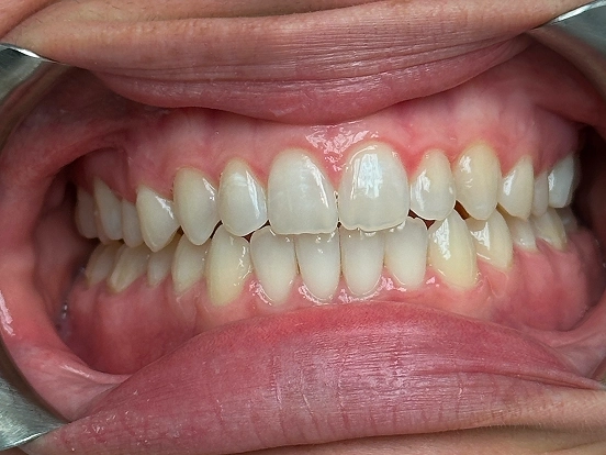
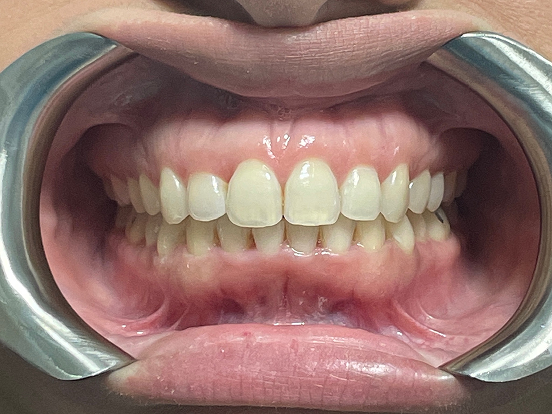
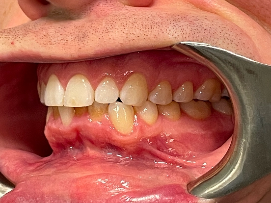
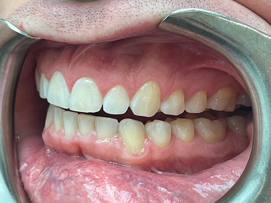
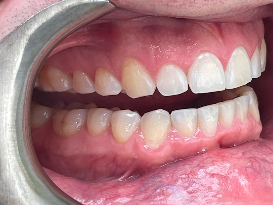
Invisalign
This Invisalign transformation highlights the subtle power of clear aligners. The patient’s teeth alignment and bite were corrected with minimal discomfort and no visible metal, achieving a radiant and natural smile that boosts confidence and comfort.




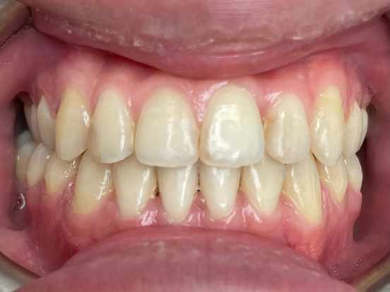
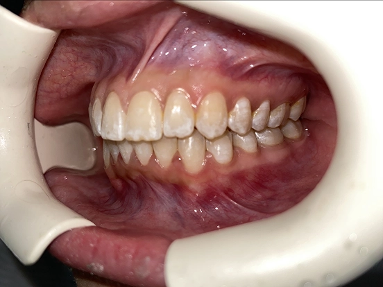
Invisalign JM
JM’s journey with Invisalign showcases the power of personalized orthodontic care. Through consistent wear and expert monitoring, JM achieved beautifully aligned teeth and a confident smile—all with the comfort and convenience of removable aligners.






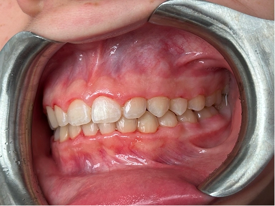
Invisalign LA
LA’s Invisalign treatment stands out for its dramatic improvement in alignment and overall appearance. Even with complex dental movements, the aligners provided precise, predictable results that enhanced both the smile and overall facial harmony.






Braces
This braces case reveals the effectiveness of traditional orthodontics in achieving stunning results. Through expert care and time, the patient’s smile was completely transformed—showing improved alignment, function, and confidence.


Braces IG
IG’s braces case demonstrates a dramatic improvement in smile alignment and balance. With consistent treatment and expert guidance, the final results show a healthier, straighter, and more confident smile that will last for years to come.




REQUEST AN APPOINTMENT
Whether you’re in need of a second opinion, looking to improve your smile, or trying to rid of some pesky discomfort, we’re here for you. We offer personalized treatment plans tailored to your needs. Interested in booking an appointment?
- Book via our treatments page
- Call/text 305-442-6422
- Email hello@mintyfreshmiami.com
Kindly give us 24 hours to get back to you!
Once your appointment request is approved we’ll provide you with more details to make your first visit as smooth as possible.





